Científicos del Instituto Politécnico Nacional (IPN) desarrollan un tratamiento innovador que combina la radioterapia, inmunoterapia y radiosensibilización para erradicar el cáncer del melanoma que se presenta principalmente en la cara y cuello, los pies y palmas de las manos, enfermedad que afecta principalmente a los adultos mayores de 60 años.

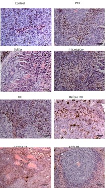
La investigadora de la Escuela Nacional de Ciencias Biológicas (ENCB), Unidad Zacatenco, Ruth Lizzeth Madera Sandoval explicó que desde hace cuatro años desarrolla un tratamiento experimental y pionero contra el melanoma con la supervisión de Armando Vega López, Jefe del Laboratorio de Toxicología Ambiental del Departamento de Ingeniería en Sistemas Ambientales y que combina las tres terapias, lo que permitió la reducción de un 80 por ciento de la enfermedad en el laboratorio con ratones in vivo.
Los estudios se realizan con melanoma en etapas previas a su diseminación. Combinaron radioterapia, principal tratamiento contra la enfermedad; inmunoterapia (biológica), así como la radiosensibilización a través de una molécula que tiene características antitumorales y que activa el sistema inmune para eliminar las células cancerosas.
Los investigadores explicaron que al aplicar el tratamiento detectaron que se abate la proliferación de las células cancerosas y se induce la muerte de éstas, además que se abroga la metástasis; es decir, se impide que las células se esparzan.

Madera Sandoval puntualizó que el cáncer es una pandemia a nivel mundial y hasta la fecha no existen tratamientos 100 por ciento efectivos para erradicarlo. La radioterapia es la técnica más utilizada para esta enfermedad, utilizan rayos gama o equis para matar todo el tejido que está expuesto y no sólo el cancerígeno; pero la inmunoterapia aumenta las funciones del sistema inmune para combatirlas.

Añadió que el melanoma es una enfermedad muy agresiva que evoluciona con rapidez, de ahí la importancia de innovar fármacos que retrasen su propagación o induzcan la muerte de las células cancerosas y resaltó que la combinación de la radioterapia, inmunoterapia y radiosensibilización permitió una disminución exacerbada de la división de las células cancerosas, es decir, se detuvo su ciclo celular y no generó nuevas células cancerígenas que se pueden diseminar en otros órganos.
Por último, Madera Sandoval subrayó que la investigación se encuentra en etapa experimental, como una innovación del IPN en tratamientos de este tipo de cáncer, ya que esta enfermedad es una pandemia de carácter mundial y que en México afecta a 60 mil 712 personas en su mayoría adultos mayores de 60 años y que en los últimos 20 años presentó un crecimiento de 150 por ciento.

TV&SHOW/ Rondero’s Medios
Otras notas que te pueden interesar:
Para recibir el nuevo año con el menú de especiales y conciertos de Canal 22
Sharon Stone frecuenta apps de citas
“Las Ensaladas de Julieta” abre 2020 por El Gourmet, canal de cocina 100% español


0 comments on “Desarrolla IPN tratamiento innovador para erradicar el cáncer del melanoma”